Şeniz AKÇAY YALBUZDAĞ1, Asiye Mukaddes EROL2, Canan ÇELİK2, Sezin SOLUM2

1Department of Physical Medicine and Rehabilitation, İzmir Bozyaka Training and Research Hospital, İzmir, Turkey
2Department of Physical Medicine and Rehabilitation, Şevket Yılmaz Training and Research Hospital, Bursa, Turkey

Keywords: Ankylosing spondylitis; paraplegia; vertebral fracture.

Abstract

Ankylosing spondylitis is an inflammatory disease involving the axial spine. Ankylosing spondylitis may render the spine prone to trauma, which may cause serious neurological lesions. In this article, we report a 61-year-old male case diagnosed as ankylosing spondylitis after the development of paraplegia due to lumbar vertebral fracture and epidural hematoma. We aimed to emphasize that ankylosing spondylitis may be diagnosed tardily after severe complications of disease, and report the rehabilitation outcomes of the patient.

Introduction

Ankylosing spondylitis (AS) is an inflammatory disease involving the axial spine, leaving the spine prone to trauma which, though minimal, may cause serious neurological lesions, particularly in patients with long-term disease history.(1) It has been reported that patients with AS have a fourfold increased life-time risk of fracture compared with unaffected individuals.(1)

The two main features of AS which are responsible for pathological changes are inflammation and new bone formation.(2) The inflammatory process promotes ectopic bone formation within the affected ligaments. The widespread enthesopathy of chronic AS results in the ossification of ligaments of the spinal column, intervertebral discs, end plates, and apophyseal structures.(2) Although new bone formation is the main feature of the pathogenesis of AS, the pathological entity is also associated with osteoporosis and low bone density.(3-5)

Herein, we report a case which was diagnosed with AS after paraplegia due to lumbar vertebral fracture and epidural hematoma. We aimed to emphasize that AS may be diagnosed after serious complications have emerged, and to report the rehabilitation outcome of our patient.

Case Report

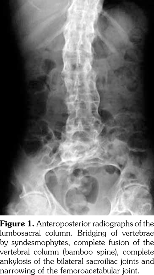
A 61-year-old man was admitted to the department of neurosurgery with bilateral lower extremity weakness which had begun suddenly. The patient had a history of spontaneous falls at home on the same day. He soon developed back pain and weakness in his lower extremities. Magnetic resonance imaging (MRI) of the lumbar spine revealed L2 vertebral fracture and epidural hematoma extending from L2 to L4. The patient underwent decompression surgery for the epidural hematoma. After the surgery, the patient was consulted in our clinic to establish a rehabilitation program. There was a minor trauma in his history two weeks ago, and an ischemic stroke two years ago. The patient reported neck and back pain ongoing for many years, and morning stiffness lasting for 30 minutes. There was no history of night pain, arthritis, skin lesions or inflammatory bowel disease. Upper limb motor strength was normal. Lower limb motor strength examination revealed that bilateral hip flexor and knee extensor strength was 3/5, ankle dorsiflexor strength was 4/5, bilateral toe dorsiflexor strength was 3/5, extensor digitorum brevis muscle strength was 3/5, and ankle plantar flexor strength was 5/5. Sensorial examination was normal. Hoffman, Achilles clonus, and Babinski signs were positive bilaterally. There was no urinary or bowel incontinence. Lumbosacral and sacroiliac joint radiographies were compatible with bilateral grade IV sacroiliitis, syndesmophytes, squared vertebral bodies, and “bamboo spine” formation. Furthermore, radiography revealed anteriorposterior longitudinal ligament calcification and scoliosis (Figure 1, 2).

>f2>
Laboratory assessment before the surgery demonstrated the erythrocyte sedimentation rate as 55 mm/h and C-reactive protein as 43.7 mg/L. Hepatitis markers and Brucella agglutination test were negative. The lumbosacral MRI which was performed before the surgery detected edema at the L3 vertebral corpus, oblique fracture at the L3 vertebral corpus, and 75¥13 mm epidural hematoma through the L1-L3 vertebrae (Figure 3, 4). After the epidural hematoma drainage and decompression surgery, the patient was transferred to the physical medicine and rehabilitation inpatient clinic for the rehabilitation program.

The patient was evaluated for range of motion and strength, bed mobility, transfers from bed to wheelchair, balance and gait. His cervical movements were limited in all directions. The chin-manubrium distance was 8 cm, the traguswall distance was 13 cm, and chest expansion was 1 cm, while the occiput-wall distance was 10 cm. Range of motion, progressive-resistive, relaxation, balance, and breathing exercises were performed. Passive and active range of motion exercises were carried out for all of the joints by a physical therapist at bedside. The patient practiced moving from lying to sitting position, and then practiced sitting balance with the assistance of the physical therapist. He learned transfers, and then started practicing standing up in the parallel bars. He learned to shift weight from one leg to the other, shifting both from side to side and from front to back. After this, he walked between the parallel bars using the bars for support. Then, he began to walk outside the bars using a walker. At discharge, the patient’s muscle strength had progressed: right hip flexor strength was 5/5, right knee extensor strength was 5/5, left hip flexor strength was 3/5, left knee extensor strength was 3/5, bilateral ankle dorsiflexor strength was 4/5, bilateral toe dorsiflexor strength was 5/5, and ankle plantar flexor strength was 5/5. At this time, the patient was able to walk a short distance using a walker.

Discussion

Ankylosing spondylitis is a spondyloarthritis which primarily affects the spine and the sacroiliac joints. Inflammatory low back pain is a feature of the early disease, and also one of the defining criteria for AS. Painful episodes and remissions are present in almost all patients. Neurological complications of AS can be caused by fracture, instability, compression or inflammation. Traffic accidents or even minor traumas can cause spinal fractures. The C5-C6 and C6-C7 levels are the most commonly involved sites. As in rheumatoid arthritis, atlantoaxial joint subluxation, atlantooccipital subluxation and upward subluxation of the axis may occur in AS as a consequence of instability resulting from the inflammatory process. Causes of neurological complications due to compression include ossification of the posterior longitudinal ligament (which may lead to compressive myelopathy), destructive intervertebral disc lesions, and spinal stenosis. Cauda equina syndrome is a rare but serious complication of longstanding AS. The syndrome affects the lumbosacral nerve roots.(6) As the disease progresses, the spinal movements gradually reduce, and the spine becomes completely stiff. Eventually, spinal fusion develops. For this reason, patients are prone to spinal fractures even with minor injury.

Spinal fracture is accepted as a complication of AS, and may cause serious neurological lesions. Akman et al.(7) reported a case with double spinal cord injury in a patient with a 30-year history of AS following minor trauma. In this report, the first lesion was cauda equina syndrome due to pseudoarthrosis 15 years after lumbar vertebral fracture and spinal stenosis, and the second occurred right after vascular insufficiency depending on cardiopulmonary arrest.

Previous studies reported that the mortality of AS patients treated surgically due to fracture was 23%, compared with 51% mortality with conservative treatment.(8) Aoki et al.(9) stated that the micromotion of the fractured segment may cause bleeding from the epidural venous plexus or fractured bone. They have suggested that surgery must be performed as early as possible after diagnosis of spinal epidural hematoma. Authors who prefer conservative treatment due to comorbidities observed motor weakness in both legs and no improvement in back pain. Based on these findings, they performed laminectomy and hematoma excision, and stabilized the fractured segment. In contrast to these reports, our patient’s operation did not include stabilization surgery, and surgery was performed immediately. This may have prevented neurological deterioration.

In AS patients, ligamentous ossification, syndesmophytosis, and a rigid hyperkyphotic deformity may develop. In addition to these altered biomechanics, the osteoporotic bone may greatly increase the vertebral column’s susceptibility to fractures, even after minor trauma.(2,10-12)

Geusens et al.(13) reviewed the risk factors for vertebral fractures in patients with AS. These were identified as male sex, age, low body mass index (BMI), osteoporosis, disease duration, degree of syndesmophyte formation, peripheral joint involvement, increased spinal motion restriction, and increased occiput-to-wall distance. Our patient’s BMI was 19, and he had a long disease duration, although he had not been diagnosed with AS before paraplegia due to vertebral fracture and epidural hematoma. All of these findings match the criteria stated previously.

Prevalence of vertebral fractures varies between 10% and 17%, and incidence of neurological complications after a vertebral fracture in AS varies between 29% and 91%.(11,14) Although vertebral fracture and spinal cord injury may be expected complications of AS particularly with long disease duration, to the best of our knowledge, this is the first report of delayed diagnosis of AS after neurological complications.

Increased risk of epidural hematoma in AS patients may be associated with antiplatelet medication, and this may be the main reason for the progressive neurological deficit. We questioned the patient about the use of anticoagulant medications, which may be a leading factor in epidural hematoma development, but we learned that he had stopped taking any anticoagulant medication one month before the date of vertebral fracture and the occurrence of paraplegia.

In conclusion, AS patients are prone to spinal fractures, even with minor injury. As the disease progresses, there may be several complications. Spinal fracture is one of the worst complications of AS, and may cause serious neurological deficits. Hereby, we discussed an AS patient who presented with lumbar vertebral fracture and paraplegia, and was diagnosed with AS after complications arose. To our knowledge, this is the first report where AS was diagnosed after serious complications. Our opinion is that our patient’s comorbidities may have been a factor responsible for the delayed diagnosis of AS. Therefore, we suggest that clinicians should take into consideration the possibility of AS in patients with vertebral fracture and epidural hematoma occurring spontaneously or with minor trauma.

Conflict of Interest

The authors declared no conflicts of interest with respect to the authorship and/or publication of this article.

Financial Disclosure

The authors received no financial support for the research and/or authorship of this article.

References

  1. Finkelstein JA, Chapman JR, Mirza S. Occult vertebral fractures in ankylosing spondylitis. Spinal Cord 1999;37:444-7.
  2. Jacobs WB, Fehlings MG. Ankylosing spondylitis and spinal cord injury: origin, incidence, management, and avoidance. Neurosurg Focus 2008;24:E12.
  3. Davey-Ranasinghe N, Deodhar A. Osteoporosis and vertebral fractures in ankylosing spondylitis. Curr Opin Rheumatol 2013;25:509-16.
  4. Karberg K, Zochling J, Sieper J, Felsenberg D, Braun J. Bone loss is detected more frequently in patients with ankylosing spondylitis with syndesmophytes. J Rheumatol 2005;32:1290-8.
  5. Will R, Palmer R, Bhalla AK, Ring F, Calin A. Osteoporosis in early ankylosing spondylitis: a primary pathological event? Lancet 1989;2:1483-5.
  6. van der Linden SM, Baeten D, Makysmowytch WP. Ankylosing spondylitis. In: Firestein GS, Budd RC, Gabriel SE, McInnes IB, O’Dell JR, editors. Kelley’s Textbook of Rheumatology. 9th ed. China: Elsevier Saunders; 2013. p. 1202-20.
  7. Akman MN, Karatas M, Kilinç S, Agildere M. Double spinal cord injury in a patient with ankylosing spondylitis. Spinal Cord 1999;37:305-7.
  8. Caron T, Bransford R, Nguyen Q, Agel J, Chapman J, Bellabarba C. Spine fractures in patients with ankylosing spinal disorders. Spine (Phila Pa 1976) 2010;35:E458-64.
  9. Aoki Y, Yamagata M, Ikeda Y, Nakajima F, Nakajima A, Nakagawa K, et al. Failure of conservative treatment for thoracic spine fracture in ankylosing spondylitis: delayed neurological deficit due to spinal epidural hematoma. Mod Rheumatol 2013;23:1008-12.
  10. Alaranta H, Luoto S, Konttinen YT. Traumatic spinal cord injury as a complication to ankylosing spondylitis. An extended report. Clin Exp Rheumatol 2002;20:66-8.
  11. Cooper C, Carbone L, Michet CJ, Atkinson EJ, O'Fallon WM, Melton LJ 3rd. Fracture risk in patients with ankylosing spondylitis: a population based study. J Rheumatol 1994;21:1877-82.
  12. Olerud C, Frost A, Bring J. Spinal fractures in patients with ankylosing spondylitis. Eur Spine J 1996;5:51-5.
  13. Geusens P, Vosse D, van der Linden. Osteoporosis and vertebral fractures in ankylosing spondylitis. Curr Opin Rheumatol 2007;19:335-9.
  14. Graham B, Van Peteghem PK. Fractures of the spine in ankylosing spondylitis. Diagnosis, treatment, and complications. Spine (Phila Pa 1976) 1989;14:803-7.