Rongzhi Liu1, Zhipeng Zhan1, Enrong Ran1, Yanxia Yi1, Huamin Wang2,3

1Department of Nephrology, Suining Central Hospital, Suining, China
2North Sichuan Medical College, Affiliated Hospital of North Sichuan Medical College, Nanchong, China
3Department of Gastroenterology, Suining Central Hospital, Suining, (Sichuan Province) China

Introduction

Granulomatosis with polyangiitis (GPA) is a rare condition accounting for about 5 to 10 cases per million, with a significant geographic variation. The annual incidence of GPA in Europe ranges from 2.1 to 14.4 cases per million, and the five-year survival rate ranges between 74 and 91%.[1]

One month before the presentation, a 71-year-old female patient was admitted to an external hospital due to repeated coughing and sputum production. The patient had no history of hypertension, diabetes, or heart disease. Routine blood examination during hospitalization showed a white blood cell count of 14.49×109/L, hemoglobin level of 97 g/L, and neutrophil percentage of 77.07%. Liver and kidney function, myocardial enzyme, and coagulation function were all normal, and antineutrophil cytoplasmic antibody (ANCA) and C-ANCA (cytoplasmic type) were positive. Anti-protease 3 antibody tests were weakly positive and thoracic computed tomography (CT) revealed infectious lesions in both lungs, with a significant right lower lung lesion. A puncture biopsy of the right lower lung was performed, and the pathological findings were compatible with granulomatous polyvasculitis (Wegener's granuloma). Antibiotics (the specific drug was unclear) and methylprednisolone 40 mg intravenous drip twice daily were administered. Methylprednisolone for five days was switched to 40 mg once daily. After treatment, the patient's symptoms resolved, and a repeated thoracic CT examination one week later showed fewer double-lung lesions compared to baseline. The patient was discharged after improving and maintained on oral prednisone 30 mg daily after discharge. One day prior, the patient was admitted to our hospital with complaints of chills, fever, decreased urine output, and difficulty in breathing. Laboratory examination revealed an elevated leukocyte count, anemia, renal failure, and electrolyte disturbances. Blood culture suggested Escherichia coli infection, and oral leukoplakia culture suggested Candida albicans infection. Urinalysis indicated a urine protein level of 3+g/L and occult blood 1+Cell/µL. Thoracic CT showed double lung infection and bilateral pleural effusion. Informed consent was obtained from the patient.

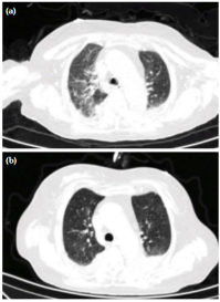
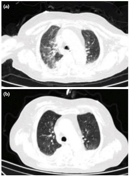
After admission, the patient underwent seven sessions of continuous renal replacement therapy (CRRT), six sessions of plasma exchange (PE), four sessions of intermittent hemodialysis (IHD), imipenem and cilastatin sodium for anti-infection, voriconazole as antifungal, methylprednisolone 40 mg once daily intravenous infusion, and cyclophosphamide 0.6 g intravenous infusion. On Day 4 of admission, the patient had hemorrhagic spots on the nose and white spots on the tongue (Figure 1a). Nasal bleeding was significantly reduced after the second plasmapheresis (Figure 1b). After the fifth plasmapheresis, the nose swelling and bleeding disappeared (Figure 1c). On Day 26 of admission, the urine volume was 3,000 mL within 24 h, and renal function recovered and improved after examination. After six plasmapheresis sessions, thoracic CT exudation decreased significantly (Figure 2). On Day 29 of hospitalization, the patient was discharged with complete improvement, urine volume returned to normal, blood creatinine decreased to 132 µmol/L, and blood culture test result was negative. At a later follow-up, a moderate dose of prednisone (30 mg, gradually reduced to 5 to 10 mg for maintenance) was administered orally combined with cyclophosphamide monthly (0.8 to 1.0 g each time, 6 to 8 g in total) and intravenous drip shock therapy was administered to maintain immunosuppression. No obvious signs of disease were observed.


Granulomatosis with polyangiitis can be characterized by saddle nose deformity, septal perforation-saddle nose deformity, pulmonary nodules, orbital masses, dacryocystitis, and ventricular septal perforation.[2,3] The case reported in the present study was mainly characterized by nasal swelling and mucosal bleeding. Thoracic CT of the patient showed exudative lesions in both lungs upon admission, and broad-spectrum antibiotics were actively administered at the initial admission stage; however, the antibacterial treatment was ineffective. The inflammatory reaction on thoracic CT increased after the examination, as hormone and plasmapheresis were effective and the exudative lesions of the patient's lungs were considered to be caused by granulomatous polyvasculitis.

Maintenance therapy with glucocorticoids (GCs) has been the mainstay of ANCA-associated vasculitis (AAV) therapy. Cyclophosphamide has been shown to improve survival and maintain remission in the treatment of AAV.[4] When blood purification is deemed necessary, hybrid blood purification should be encouraged. Hybrid blood purification is the simultaneous or sequential combination of two or more basic modes of blood purification to improve solute removal efficiency and achieve relatively accurate removal of disease-causing substances; it is a procedure specific to the field of nephrology. Continuous renal replacement therapy has been suggested as a type of blood purification therapy. During therapy, the patient’s blood passes through a special filter that removes fluid and uremic toxins, returning clean blood to the body. The slow and continuous nature of the process is typically performed over a 24-h period. In our case, we carried out each cycle of CRRT for a duration of 12 h. This decision was made, since we needed to perform PE at the end of CRRT, and also due to the financial limitations faced by the patient. Plasma exchange is a medical procedure where the patient's blood is put into a device that separates the plasma. The discarded plasma is replaced with fresh plasma or a substitute, such as 4% human serum albumin. This helps to remove soluble immune complexes and some antibodies from the patient's body. The procedure usually lasts 2 to 3 h. A pooled analysis of studies has shown the potential benefits of PE in patients with severe renal failure, with faster recovery of kidney function in those treated with plasmapheresis than those treated with intravenous methylprednisolone.[5]

In conclusion, when GPA is complicated by acute renal failure and the patient has hemodynamic instability, we recommend that patients in serious conditions should be first stabilized with CRRT before performing PE. If renal failure persists after hemodynamic stability is achieved, IHD can be used clinically to remove creatinine and other small molecules. If there is evidence of active vasculitis, it is advisable to consider the use of both IHD and PE therapy, as they work together to effectively treat GPA. Of note, hybrid blood purification is more effective than hemodialysis in maintaining stable blood flow and removing harmful antibodies and inflammatory substances. This helps to promote and safeguard the functioning of organs.

Citation: Liu R, Zhan Z, Ran E, Yi Y, Wang H. A rare case of life-threatening granulomatosis with polyangiitis treated with glucocorticoids combined with cyclophosphamide and hybrid blood purification. Arch Rheumatol 2024;39(4):679-682. doi: 10.46497/ArchRheumatol.2024.10435.

Author Contributions

Study conception, data compilation and analysis, and manuscript writing: L.R.Z.; Study conception and manuscript writing: Y.Y.X., Z.Z.P.; Manuscript writing: R.E.R., W.H.M. All authors reviewed and approved the final version of the manuscript.

Conflict of Interest

The authors declared no conflicts of interest with respect to the authorship and/or publication of this article.

Financial Disclosure

The authors received no financial support for the research and/or authorship of this article.

Data Sharing Statement

The data that support the findings of this study are available from the corresponding author upon reasonable request.

References

  1. Yates M, Watts RA, Bajema IM, Cid MC, Crestani B, Hauser T, et al. EULAR/ERA-EDTA recommendations for the management of ANCA-associated vasculitis. Ann Rheum Dis 2016;75:1583-94. doi: 10.1136/ annrheumdis-2016-209133. DOI: 10.1136/annrheumdis-2016-209133
  2. Maqbool U, Maqbool A, Maqbool A, Qadeer A, Mehmood MF, Loon M. An atypical presentation of granulomatosis with polyangiitis: A case report. Radiol Case Rep 2023;18:2245-8. doi: 10.1016/j. radcr.2023.03.023. DOI: 10.1016/j.radcr.2023.03.023
  3. Mei L, Wang L, Yan H. Updates of ocular involvement in granulomatosis with polyangiitis. Graefes Arch Clin Exp Ophthalmol 2023;261:1515-23. doi: 10.1007/ s00417-022-05918-w. DOI: 10.1007/s00417-022-05918-w
  4. Fauci AS, Haynes BF, Katz P, Wolff SM. Wegener's granulomatosis: Prospective clinical and therapeutic experience with 85 patients for 21 years. Ann Intern Med 1983;98:76-85. doi: 10.7326/0003- 4819-98-1-76. DOI: 10.7326/0003-4819-98-1-76
  5. Jayne DR, Gaskin G, Rasmussen N, Abramowicz D, Ferrario F, Guillevin L, et al. Randomized trial of plasma exchange or high-dosage methylprednisolone as adjunctive therapy for severe renal vasculitis. J Am Soc Nephrol 2007;18:2180-8. doi: 10.1681/ ASN.2007010090. DOI: 10.1681/ASN.2007010090