Wan-hee Yoo1, Kyoung Min Kim2, Yunjung Choi1

1Department of Internal Medicine, Jeonbuk National University Medical School, Jeonju, South Korea
2Department of Pathology, Jeonbuk National University Medical School, Jeonju, South Korea

Recent studies have revealed a link between autoimmune diseases and a heightened risk of developing cancer, notably in patients with autoimmune rheumatic diseases.[1,2] This is particularly true for Sjögren’s syndrome, which is well-documented to increase the risk of lymphoma.[3] However, recent findings suggest that individuals with Sjögren's syndrome might also be at an elevated risk for a wider range of cancers, including the less commonly reported pharyngeal cancer. This type of cancer often mimics sialadenitis, making accurate diagnosis challenging.

A 49-year-old male patient with a history of Sjögren's syndrome, previously treated tuberculosis, and chronic obstructive pulmonary disease presented with the complaint of a mass in the left jaw region, resembling sialadenitis but lacking tenderness or typical inflammatory signs. The diagnosis of Sjögren's syndrome was established one and a half years prior, adhering to the 2016 American College of Rheumatology/European Alliance of Associations for Rheumatology classification criteria. This diagnosis was supported by the presence of a positive anti-SSA (Ro) antibody (50.1 U/mL), a positive Schirmer test (3 mm/5 min in both eyes), and a reduced unstimulated whole saliva flow rate (0.2 mL over 5 min). The treatment for the patient focused on alleviating sicca symptoms, with no extraglandular manifestations reported.

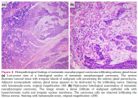
Upon admission, laboratory analyses revealed anemia, indicated by a hemoglobin concentration of 10.8 g/dL, and raised C-reactive protein levels, which were measured at 54.05 mg/L. A computed tomography scan indicated necrotic lymph nodes, leading to a diagnosis of metastatic carcinoma confirmed by fine-needle aspiration. Subsequent magnetic resonance imaging (MRI) and positron emission tomography (PET)/computed tomography (CT) confirmed the presence of left hypopharyngeal cancer with ipsilateral lymph node metastasis involving the left submandibular gland and sternocleidomastoid muscle (5.2×4.8 cm; Figures 1a-c). Following radical neck dissection, squamous cell carcinoma with metastasis, including invasion into the submandibular gland was confirmed (Figures 2a, b). The patient was diagnosed with Stage IVA hypopharyngeal cancer and underwent three months of cisplatin and radiation therapy. However, restaging after treatment revealed a new nasopharyngeal mass with skull base destruction and lung metastasis. Despite undergoing an additional five months of chemotherapy, treatment was discontinued due to his deteriorating condition. Subsequently, the patient received four months of symptomatic conservative care before being lost to follow-up.


The rising incidence of pharyngeal carcinoma, which includes nasopharyngeal, oropharyngeal, and hypopharyngeal cancers, poses a significant concern.[4] These cancers often present without symptoms or mimic benign conditions, making early detection difficult.[5,6] The prognosis for hypopharyngeal cancer remains poor, with a five-year survival rate of 30 to 40%.[7]

Research from Taiwan's Health Insurance database suggests a 45% increased risk of head and neck cancer among individuals with Sjögren’s syndrome.[8] The cause of this increased risk may be related to chronic inflammation and immune dysregulation associated with autoimmune diseases.[9] Notably, the Epstein-Barr virus, a known risk factor for pharyngeal cancer, has also been implicated in the pathophysiology of autoimmune diseases, including Sjögren’s syndrome.[10] The similarity of symptoms between pharyngeal cancer and sialadenitis, often encountered in Sjögren’s syndrome, underscores the necessity for vigilance in diagnostic and therapeutic approaches in clinical practice.

Citation: Yoo WH, Kim KM, Choi Y. The hidden oncological challenge in Sjögren's syndrome with a focus on pharyngeal cancer. Arch Rheumatol 2024;39(3):471- 473. doi: 10.46497/ArchRheumatol.2024.10748.

Author Contributions

Idea/concept, data collection, data analysis, drafting the manuscript: Y.C., K.M.K; Literature review, critical review, supervision: W.Y.

Conflict of Interest

The authors declared no conflicts of interest with respect to the authorship and/or publication of this article.

Financial Disclosure

This work was supported by the National Research Foundation of KOREA (NRF) grant funded by the Korean government (MSIT) (no. 2021R1G1A1094571) and Research Base Construction Fund Support Program funded by Jeonbuk National University in 2024.

Data Sharing Statement

The data that support the findings of this study are available from the corresponding author upon reasonable request.

References

  1. Bernatsky S, Ramsey-Goldman R, Clarke A. Malignancy and autoimmunity. Curr Opin Rheumatol 2006;18:129-34. doi: 10.1097/01. bor.0000209423.39033.94. DOI: 10.1097/01.bor.0000209423.39033.94
  2. Giat E, Ehrenfeld M, Shoenfeld Y. Cancer and autoimmune diseases. Autoimmun Rev 2017;16:1049- 1057. DOI: 10.1016/j.autrev.2017.07.022
  3. Mariette X, Criswell LA. Primary Sjögren's syndrome. N Engl J Med 2018;378:931-9. doi: 10.1056/ NEJMcp1702514. DOI: 10.1056/NEJMcp1702514
  4. Aupérin A. Epidemiology of head and neck cancers: An update. Curr Opin Oncol 2020;32:178-86. doi: 10.1097/CCO.0000000000000629. DOI: 10.1097/CCO.0000000000000629
  5. Davis ED. The early diagnosis of carcinoma of the oral and laryngeal pharynx, including the diagnosis of inoperable cases. Proc R Soc Med 1920;13:202-3. DOI: 10.1177/0035915720013007107
  6. Koivunen P, Rantala N, Hyrynkangas K, Jokinen K, Alho OP. The impact of patient and professional diagnostic delays on survival in pharyngeal cancer. Cancer 2001;92:2885-91. doi: 10.1002/1097-0142(20011201)92:113.0.co;2-g. DOI: 10.1002/1097-0142(20011201)92:11<2885::AID-CNCR10119>3.0.CO;2-G
  7. Garneau JC, Bakst RL, Miles BA. Hypopharyngeal cancer: A state of the art review. Oral Oncol 2018;86:244- 50. doi: 10.1016/j.oraloncology.2018.09.025. DOI: 10.1016/j.oraloncology.2018.09.025
  8. Yang TH, Cheng YF, Chen CS, Lin HC. Increased prevalences of head and neck cancers in patients with Sjögren's syndrome. Head Neck 2023;45:2874-81. doi: 10.1002/hed.27518. DOI: 10.1002/hed.27518
  9. Carsons S. The association of malignancy with rheumatic and connective tissue diseases. Semin Oncol 1997;24:360-72.
  10. Toussirot E, Roudier J. Epstein-Barr virus in autoimmune diseases. Best Pract Res Clin Rheumatol 2008;22:883-96. doi: 10.1016/j.berh.2008.09.007. DOI: 10.1016/j.berh.2008.09.007