Semih Gülle1, Ömer Komaç2, Gerçek Can1, Fatoş Önen1

1Department of Internal Medicine, Division of Rheumatology, Dokuz Eylül University Faculty of Medicine, Izmir, Türkiye
2Department of Internal Medicine, Kocaeli State Hospital, Kocaeli, Türkiye

Takayasu arteritis (TA) is a form of granulomatous chronic vasculitis of the large arteries and is usually seen in young Asian women.[1] The inflammatory processes cause thickening of the walls of the affected arteries. Narrowing, occlusion, or dilation of involved portions of the arteries in varying degrees results in a wide variety of symptoms, and the disease typically affects the aorta and its branches.[2]

An 18-year-old Caucasian Turkish female patient was admitted to the clinic with complaints of pitting edema in the lower extremities, fluctuations in blood pressure, and fatigue that had increased over the previous three months. The patient was diagnosed with TA two years ago. At the time of diagnosis, there were vascular involvements in the abdominal aorta, right renal artery, celiac artery, and right common carotid artery, and her right kidney was atrophic due to critical occlusion, but she did not have proteinuria at that time. She had received treatment during that period and had later refused treatment because of fertility concerns. The patient stated that she had not been followed up regularly for the previous year.

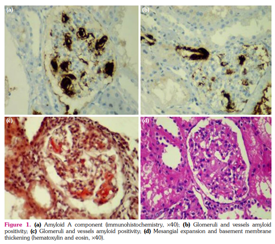
No abnormality was found in the patient's vital signs during the examination. There was no difference between arterial pulses on examination. However, pretibial edema was present. Although there were no signs of disease progression in the new imaging compared to the previous one, acute phase reactants were high, and a 24-h urine sample showed 11.5 g of proteinuria. No new critical stenosis was detected in the renal arteries in Doppler ultrasound imaging, and no erythrocyte casts were detected in the urine. A kidney biopsy was performed for the diagnosis of nephrotic-level proteinuria, and a deposition pattern was observed in the renal biopsy specimen with Congo red staining (Figure 1).

In renal artery stenosis, renovascular hypertension is expected, with massive levels of proteinuria also reported, although very rarely. Our patient had no clinical symptoms of lupus. Antinuclear antibody (ANA), antidouble-stranded deoxyribonucleic acid (dsDNA) antibodies, and complement levels were within normal limits.

The time of occurrence of AA amyloidosis may vary after diagnosis of the underlying disease. A mean disease duration of 17-26 years has been reported for the development of AA amyloidosis in rheumatologic patients.[3] Our patient was 18 years old and had developed AA amyloidosis quite early based on the literature, suggesting that TA had started in childhood. In the evaluation of the patient, no other clinical findings related to AA amyloidosis were detected, except for renal involvement.[4,5] In the treatment of the patient, methotrexate and anti-interleukin (IL)-6 therapy were started, and a significant improvement was detected in the clinical and laboratory findings in the follow-up.[6,7]

In our case, secondary renal amyloidosis associated with TA was detected. The time between the patient's diagnosis of TA and the detection of secondary amyloidosis is a short period of approximately two years. In the literature, amyloidosis cases that went into remission after steroid, dimethyl sulfoxide, and tocilizumab (anti-IL-6) treatment have been reported.[6,7] Since TA symptoms of the patient were not detected in the early period, it suggests a much earlier period of the onset of the disease. In the course of TA, amyloidosis can cause nephrotic-level proteinuria; thus, it can be considered in any differential diagnosis.

Citation: Gülle S, Komaç Ö, Can G, Önen F. A rare condition in Takayasu arteritis: Renal amyloidosis. Arch Rheumatol 2023;38(4):653-655. doi: 10.46497/ ArchRheumatol.2023.9893

Author Contributions

Conceptualized and designed the study, drafted the initial manuscript, and reviewed and revised the manuscript: S.G., Ö.K., G.C., F.O.; Participated in designing the study, performed statistical analyses, and reviewed and revised the manuscript: S.G.

Conflict of Interest

The authors declared no conflicts of interest with respect to the authorship and/or publication of this article.

Financial Disclosure

The authors received no financial support for the research and/or authorship of this article.

Data Sharing Statement

The data that support the findings of this study are available from the corresponding author upon reasonable request.

References

  1. Lupi-Herrera E, Sánchez-Torres G, Marcushamer J, Mispireta J, Horwitz S, Vela JE. Takayasu's arteritis. Clinical study of 107 cases. Am Heart J 1977;93:94- 103. doi: 10.1016/s0002-8703(77)80178-6. DOI: 10.1016/S0002-8703(77)80178-6
  2. Hata A, Noda M, Moriwaki R, Numano F. Angiographic findings of Takayasu arteritis: new classification. Int J Cardiol 1996;54 Suppl:S155-63. doi: 10.1016/s0167- 5273(96)02813-6. DOI: 10.1016/S0167-5273(96)02813-6
  3. Kos I, Stilgenbauer S, Bewarder M. Renal AA amyloidosis leading to early diagnosis and treatment of takayasu arteritis: A case report and review of the literature. Clin Res Cardiol 2020;109:1438-41. doi: 10.1007/s00392-020-01655-4. DOI: 10.1007/s00392-020-01655-4
  4. Hellmann DB, Hardy K, Lindenfeld S, Ring E. Takayasu's arteritis associated with crescentic glomerulonephritis. Arthritis Rheum 1987;30:451-4. doi: 10.1002/art.1780300415. DOI: 10.1002/art.1780300415
  5. Koumi S, Endo T, Okumura H, Yoneyama K, Fukuda Y, Masugi Y. A case of Takayasu's arteritis associated with membranoproliferative glomerulonephritis and nephrotic syndrome. Nephron 1990;54:344-6. doi: 10.1159/000185893. DOI: 10.1159/000185893
  6. Makino H, Nagake Y, Murakami K, Hirakawa S, Ota Z. Remission of nephrotic syndrome in a patient with renal amyloidosis associated with Takayasu's arteritis after treatment with dimethylsulphoxide. Ann Rheum Dis 1994;53:842-3. doi: 10.1136/ard.53.12.842. DOI: 10.1136/ard.53.12.842
  7. Hattori Y, Ubara Y, Sumida K, Hiramatsu R, Hasegawa E, Yamanouchi M, et al. Tocilizumab improves cardiac disease in a hemodialysis patient with AA amyloidosis secondary to rheumatoid arthritis. Amyloid 2012;19:37- 40. doi: 10.3109/13506129.2011.636460. DOI: 10.3109/13506129.2011.636460