Sıtkıcan Okur, Zafer Okumuş

Department of Veterinary Surgery, Atatürk University Faculty of Veterinary Medicine, Erzurum, Türkiye

Keywords: Low-level laser therapy, knee joint, prednisolone, rheumatoid arthritis, therapeutic ultrasound.

Abstract

Objectives: The aim of this study was to evaluate and monitor the effect of low-level laser therapy (LLLT) and therapeutic ultrasound (TU) alone, or combined with intra-articular prednisolone (P) in Freund’s complete adjuvant (FCA)-induced knee arthritis model in rats.

Materials and methods: A total of 56 adult male Wistar rats were divided into seven groups: control (C), disease control (RA), P, TU, LLLT (L), P + TU (P+TU), P + LLLT (P+L) groups. The skin temperature, radiography, joint volume, serum rheumatoid factor (RF), interleukin (IL)-1β, serum tumor necrosis factor-alpha (TNF-α), and histopathological evaluation of joint were performed.

Results: Thermal imaging and radiographic examination provided results consistent with the severity of the disease. The mean joint temperature (°C) was the highest in the RA (36.2±1.6) group on Day 28. The P+TU and P+L groups significantly decreased radiological scores at the end of the study. The rat serum TNF-α, IL-1β, and RF levels in all groups were significantly higher compared to the C group (p<0.05). Compared to the RA group, serum TNF-α, IL-1β, and RF levels were significantly lower in the treatment groups (p<0.05). The P+TU and P+L group was showed minimal chondrocyte degeneration and cartilage erosion and mild cartilage fibrillation and mononuclear cell infiltration of synovial membrane compared to the P, TU, and L group.

Conclusion: The LLLT and TU effectively reduced inflammation. In addition, a more effective result was obtained from the use of LLLT and TU combined with intra-articular P. This result may be due to insufficient dose of LLLT and TU, thus further studies should be focus on at higher dose ranges on FCA arthritis model in rats.

Introduction

Rheumatoid arthritis (RA) is a systemic autoimmune disease characterized by chronic inflammation of joints and other organs, particularly in the synovial membranes and articular tissues. It is a destructive polyarthropathy associated with excessive synovial fluid accumulation in the joint, hyperplasia of synovial cells, and pannus formation, which can eventually cause articular cartilage degradation and joint deformities.[1,2] In the past few years, advances in imaging methods such as magnetic resonance imaging, radiography, and ultrasonography provide an advantage for diagnose RA and monitor disease activity.[3] These imaging methods, however, are limited to anatomical structures of interest. Infrared thermography is essential in terms of showing physiological changes and metabolic activities. Thermal imaging technology is a non-invasive technique employed to determine disease severity in both animal models and humans.[4] Thermography is a basic screening technology used to diagnose a variety of disorders.[5,6]

Glucocorticoids are effective anti-inflammatory agents and have been used for many years in symptomatic treatment of RA. These agents inhibit proliferation, differentiation, function of macrophages and fibroblasts proliferation, as well as production and release of cytokines.[7] However, glucocorticoids have some disadvantages, such as weight gain, insulin resistance, and cardiovascular impairment.[8,9] Therefore, non-pharmacological treatments for RA management have been investigated.[10,11]

Low-level laser therapy (LLLT) has been used clinically to treat various inflammatory diseases since 1981.[12] Therapeutic advantages of LLLT for inflammatory pathologies have been suggested by several authors.[11,13,14] It is used to enhance tissue repair, decrease inflammation and edema, and pain relief. It can be used for the stimulation of cell function. Lasers photons are thought to be absorbed by chromophores within the cells, such as cytochrome c oxidase located in the mitochondria.[15] Alterations in cytochrome c oxidase activity result in increased production of adenosine triphosphate, a major source of cellular energy, which provides to normalization of cell function, pain relief, and healing process.[16] The anti-inflammatory efficacy of LLLT has been controversial, and some authors have not found any effect from LLLT on inflammation.[17] However, more recent studies have been able to find some dose-dependent effects on in vitro[18] and in vivo[13] studies. In addition, LLLT has been used for relief of chronic pain in RA, which causes by sensitization of neurons by inflammatory mediators.[19]

Therapeutic ultrasound (TU) is one of many physical therapy modalities. It consists of high-frequency vibrations, which can increase cell permeability by setting up cavitation, thus aiding cell communication across articular membranes and linings; this mechanical effect explains why ultrasound has anti-inflammatory qualities.[20] Stable cavitation also reduces the nerve conduction velocity of C fibers, thus decreasing pain. Ultrasound can elevate intra-tissue temperature when used in a continuous mode. The significant benefits of ultrasound thermal effects are reducing muscle spindle activity and, accordingly, reducing muscle spasms and pain.[21]

The objective of this study was to evaluate effects on either LLLT or TU and their combination with intra-articular prednisolone (P) in the Freund’s complete adjuvant (FCA)-induced knee arthritis in Wistar rats and monitor inflammatory arthritis activity. We hypothesized that treatment with combinations of either LLLT or TU with intra-articular P might produce more effective results than their use alone in the FCA-induced knee arthritis model in rats.

Patients and Methods

Animals

This experimental study included 56 adult male Wistar rats (approximately 90 days of age and average weight of 250 g) supplied from the Medical Experimental Application and Research Center of Atatürk University. The rats were housed four per cage prior to the initialization of experiments and were acclimated for one week. The humidity ranged from 40 to 60%. A uniform temperature of 22±2°C was maintained throughout with a 12:12h light: dark cycle.

Induction of arthritis

In this study, the rats were injected with 0.1 mL of FCA (Sigma Chemicals, St. Louis, MO, USA), containing 10 mg of heat-killed Mycobacterium tuberculosis per mL of paraffin oil, mixed with sterile saline in the ratio of 1:1 into the right knee joint. To increase the severity of arthritis, a booster injection with 0.1 mL of the emulsion was administered in the same manner on Day 7.[22,23] Figure 1 depicts the critical event linked with the FCA-induced arthritis model in further detail.

Study design

All animals were randomly divided into seven groups (n=8, Control (C), Disease Control (RA), P, TU, LLLT (L), P + TU (P+TU), and P + LLLT (P+L). Methylprednisolone sodium succinate (Prednol-L, Mustafa Nevzat, Istanbul, Türkiye) at a dose rate of 2 mg/kg/day was injected into the right knee joint (P, P+TU, and P+L groups). The same volume of sterile saline was injected into the right joint in the C and RA group.

Low-level laser therapy

The LLLT treatment was performed with a low-level laser (Eme Physio, Lasermed 2200; GaAs laser, 905 nm, 1 cm2 beam area, 7,000 Hz, 17 mW, 1 J/cm2, exposure time 60s; Pesaro, Italy) in the right knee joint once per day.

Therapeutic ultrasound

The TU treatment was employed with a TU device (Intelect Vet; 1 MHz, continuously mode, the intensity of SATA 0.5 W, exposure time: 300s; Chattanooga Group Inc., Chattanooga, TN, USA) in the right knee joint once per day. In C, RA, and P groups, LLLT and TU probes were placed, but no exposure was performed.

Measurement of knee joint volume

All joint volume measurements were performed immediately after the thermography examination. The inflamed joints of the rats were measured with a plethysmometer directly changes in knee volume by water displacement (mL) on Days 0 (baseline), 14, and 28.

Thermographic examination

The hair coat in the right knee joint area was shaved. A thermographic examination was performed in a room without sunlight and at a constant temperature of 22°C. The average temperature measurements of the knee joint were obtained from anterior, lateral, medial, and posterior views without administration of any sedative or anesthetic agents. All thermal camera measurements were recorded at the same time of day (10 to 12 AM). A thermal camera (IR Flexcam S, Infrared Solutions Inc., Plymouth, MN, USA) was used to measure on Days 0, 14, and 28.

The infrared camera was positioned at a distance of 1.0 m from the knee joint of rats and the thermal images were recorded on Days 0, 14, and 28. The SmartViewtm software (Fluke Corporation, Everett, WA, USA) was used for image visualization and analysis.

Radiological analysis

Before the begging of the study, the joints of rats were determined to be free of any radiological abnormality. The rats were anesthetized with sevoflurane and were positioned ventrodorsally on a table and X-ray image was obtained in the posterior-anterior view of the right knee joints with a stationary X-ray machine (Mex-100, Medical ECONET, Oberhausen, Germany) at 12 mA/s, 40 kV on Days 14 and 28. Two different blind observers performed radiological visual scoring, and visual scoring values were calculated based on the following conditions;[23] erosions: 0-3 (none, mild, moderate, severe); joint space narrowing: 0-3 (none, minimal, moderate, severe); joint space destruction: 0-3 (none, minimal, extensive, ankylosis).

Biochemical sampling and analysis

The rats were anesthetized with sevoflurane on Day 28, and approximately 3 mL blood samples were taken directly from the heart. The samples were transferred into sterile tubes containing ethylenediaminetetraacetic acid (EDTA) and centrifuged at 4,000 rpm, +4°C for 10 min and their plasma was separated and stored in a deep freeze at -70°C until biochemical analysis. Serum rheumatoid factor (RF), interleukin (IL)-1β, and serum tumor necrosis factor-alpha (TNF-α) were measured using a YLbiont enzyme-linked immunosorbent assay (ELISA) kit (Shanghai YL Biotech Co., Shanghai, China) according to the manufacturer’s instructions.

Histopathological evaluation

The rats were sacrificed with a lethal dose of 200 mg/kg of sodium pentobarbital into intra-peritoneal injection on Day 28. The right knee joint samples of the rats were removed and fixed in 10% neutral phosphate-buffered formalin for 48 h. After this process, they were decalcified with the Osteosoft decalcification solution (Merc KGaA, Darmstadt, Germany) for 48 h, and the samples were dehydrated in 70 to 99.9% ethanol series, cleared in xylene and embedded in paraffin blocks and submitted to 4 μm thickness transversal section. They were stained with hematoxylin-eosin and Masson’s trichrome, examined and photographed using a light microscope (Leica DM 1000; Leica Microsystems Wetzlar GmbH, Wetzlar, Germany). The knee joint was histologically scored as chondrocyte degeneration, cartilage erosion/ ulceration, cartilage fibrillation, mononuclear cell infiltration of synovial membrane (- normal, + minimal, ++ mild, +++ moderate, ++++ severe, Table 2).

Statistical analysis

The sample size was performed assuming 80% power to detect a 20% improvement in temperature with a standard deviation of 0.5°C and a significant level of 5%. The needed sample would be eight animals per group. This calculation was based on data from previously an experimental study evaluating FCA-induced arthritis in a Wistar rat model.[22]

Statistical analysis was performed using the SPSS version 22.0 software (IBM Corp., Armonk, NY, USA). The normality of data distribution was evaluated using the Shapiro-Wilk test. Descriptive data were expressed in mean ± standard deviation (SD). The normally distributed data was the two-way analysis of variance (ANOVA) with Bonferroni post-hoc test. For non-normally distributed data, the Kruskal-Wallis test was used to compare each group, followed by Dunn’s multiple comparison test. A p value of <0.05 was considered statistically significant.

Results

Evaluation of knee joint volume

The joint volume was not significantly different among groups at the baseline measurements (p>0.05). Compared to the C group, all groups were significantly increased joint volume on Days 14 and 28 (p<0.05, Figure 2). No significant difference was found among the FCA-induced groups on Day 14 (p>0.05). The mean joint volume was significantly highest in the RA group (13.3±1.3) compared to L (12.1±1.6), TU (11.7±1.3), P+TU (11.3±2.2), P (11.1±2.5), P+L (10.8±1.6), and C group (9.6±0.9) on Day 28. The P+TU and P+L were significantly reduced joint volume on Day 28 compared to Day 14 (Table 1).


Evaluation of joint temperature

The baseline temperature of the knee joint was ranged from 30.2 to 31.0°C with had no significant difference among groups. No significant difference was observed among FCA-induced groups on Day 14 (p>0.05). Compared to the C group, the joint temperature was significantly higher in all groups on Days 14 and 28 (p<0.05, Figure 3). The mean joint temperature (°C) was the highest in the RA group (36.2±1.6) followed by TU (35.5±0.8), L (35.1±1.5), P+TU (34.2±1.3), P (33.9±1.9), P+L (33.1±1.3), and C group (30.5±1.4) on Day 28. The P and P+L groups were significantly decreased joint temperature compared to the RA, TU, and L groups at the end of study (p<0.05, Figure 3, Table 1).

Evaluation of radiological score

The radiological abnormality was not observed any time points in C groups (on Days 14 and 28 radiological score= 0, Table 1). The radiological score was not significantly different among groups on Day 14 (p>0.05, Figure 4). Compared to the RA groups (1.98±0.6), the mean radiological score was lower TU (1.55±0.5), P (1.45±0.5), L (1.45±0.1), P+TU (1.11±0.5), and P+L (1.05±0.3) group on Day 28 (Figure 4). The P+TU and P+L groups significantly decreased radiological scores at the end of the study (p<0.05, Figure 5). The P, TU, and L groups also decreased radiological scores, but were not statistically significant (p>0.05, Table 1).


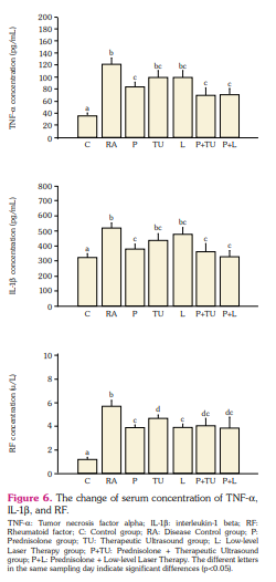
Evaluation of serum levels RF, TNF-α, and IL-1β

The rat serum TNF-α, IL-1β, and RF levels in all groups were significantly higher compared to the C group, (p<0.05, Figure 6). Compared to the RA group, the serum TNF-α, IL-1β, and RF levels were significantly lower in the treatment groups (p<0.05). The TNF-α and IL-1β levels in the P, P+L, and P+TU group were lower compared to TU and L group (p<0.05, Figure 6). Additionally, there was no significant difference between the TU and L group in terms of the TNF-α and IL-1β (p>0.05, Table 1).

Evaluation of joint histopathology

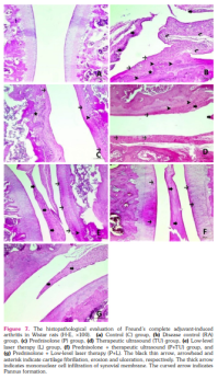
The joint sections of the rats in the C group were examined histopathologically. The joint capsule, synovium, cartilage, and bone tissues were in normal histological structure (Figure 7). The RA group showed severe chondrocyte degeneration, cartilage erosion/ulceration, cartilage fibrillation, and mononuclear cell infiltration of synovial membrane compared to P, TU, L, P+TU, and P+L group (p<0.05, Table 2). The P+TU and P+L group was showed minimal chondrocyte degeneration and cartilage erosion and mild cartilage fibrillation and mononuclear cell infiltration of synovial membrane compared to the P, TU, and L group (p<0.05, Figure 7).

Discussion

The objective of this study was to investigate the effectiveness of either LLLT or TU and their combination with intra-articular P, on an experimentally established FCA-induced arthritis model in Wistar rats. The FCA-induced arthritis model of chronic inflammation is considered the best available experimental model of RA.[24,25] Also, it is a model of chronic polyarthritis with features that resembles RA.[26] Therefore, the C group was formed instead of using collateral knee joints in rats.

Rheumatoid arthritis is a long-term form of autoimmune disorder that primarily affects the joints identified by inflammation and swelling of the synovium of the joint.[27] The current study showed that, following intra-articular injection of FCA, knee edema of the effected joint increased as a result of inflammation. Our results showed that all treatment groups had significantly reduced joint volume compared to the RA group. The activity of glucocorticoids is mediated via glucocorticoid receptor, which is significantly decreased in synovial inflammation.[28]

Previous studies reported that LLLT[11,16,29] and TU[30,31] treatments showed positive effects in several types of joint inflammation. Similar to our result, Tomasek et al.[32] reported that LLLT reduced edema and inflammatory cell infiltration and increased the collagen and elastic fibers at the injury site. Also, another study reported that LLLT (785 nm) produced a decrease in leukocytes in anterior tibialis muscle of rats.[33] These results showed that the LLLT had anti-inflammatory effects and decreased leukocytes infiltration at the injury site.

Change of tissue temperature is one of the essential physical features of the inflammatory process.[34] Increasing joint temperatures indicate the appearance of inflammatory reactions in RA.[35] Administration of FCA into the knee joint has been shown to cause localized inflammatory response characterized by increased vascular leakage, infiltration of inflammatory cells, and the following swelling of the effected joint. In the current study, the temperature of the inflamed joint in all groups was significantly higher than in the C group. The maximal mean temperature of the effected knee joint was noted RA group on Day 28. The P and P+L groups were more effective and significantly decreased the temperature of the inflamed joint. The L group decreased the joint temperature compared to the RA group, but was not effective by the P+L group. The LLLT significantly reduced the level of inflammatory cytokine prostaglandin E2 (PGE2) in the synovial membrane of RA.[36] This anti-inflammatory effect may provide to decrease the temperature of inflamed joint. The TU is capable of producing thermal therapeutic effects.[37] Therefore, it was noticed that, in the treatment groups with TU, even if the tissue temperature decreased due to the severity of arthritis, the thermal effect of TU might prevent us from detecting severity of arthritis. Thus, the thermal camera was ineffective for the follow-up of the disease in thermal applications.

During the process of adjuvant induced RA, joint inflammation is caused by the infiltration of immune cells, synovial hyperproliferation, and the over production of proinflammatory cytokines, such as TNF-α and IL-1β, following causing cartilage and bone damage.[38] Moreover, Uddin et al.[39] reported that the TU stimulation prevented cartilage damage by inhibiting the IL-1β and stimulating chondrocyte migration, proliferation, and differentiation. The proinflammatory cytokines may cause bone erosion indirectly by promoting differentiation of osteoclast precursors and afterward by activating osteoclasts.[40] Therefore, the radiological examination is a useful measure of disease severity, as well as progression in RA.[41] Our study showed that the RA groups’ radiological score was higher than all treatment groups. On Day 28, the P+TU and P+L groups radiologically reduced the severity of arthritis compared to Day 14, possibly by inhibiting the infiltration of proinflammatory cytokines. This result is consistent with our histopathological findings.

Serum IL-1β and TNF-α, which are two mainly mediatory of RA in experimental models,[42] are produced in chondrocytes in pathological conditions.[43] In addition, diagnostic studies proposed previously that circulating pro-inflammatory cytokines such as TNF-α and IL-1β could be dependable biomarkers of RA.[44] Also, serum RF is considered a specific rheumatoid biomarker.[45] In this study, the rat serum TNF-α, IL-1β, and RF levels in FCA-induced groups were significantly higher compared to the C group. Treatment groups (P, TU, L, P+TU, and P+L) of serum TNF-α, IL-1β, and RF levels were lower compared with the RA group. This result indicated that either LLLT or TU and their combination with intra-articular P were produced in anti-inflammatory effects on FCA-induced knee arthritis. Similarly, previous studies reported that LLLT reduced the levels of TNF-α and IL-1β. [12,46] The LLLT emerges to reduce the TNF-α and IL-1β by affecting processes downstream of nuclear factor kappa B (NF-κB) pathway activation.[47] In addition, a previous study indicated that TU stimulation was inhibited the IL-1β. [40] Although this study was also showed that LLLT and TU reduced serum TNF-α and IL-1β level, their combination with intra-articular P more effectively result was obtained. These combinations may produce a synergistic effect on reducing inflammation of the inflamed joint.

Histopathological analyses of inflamed joints obtained from rats with the RA group have shown the severity of chondrocyte degeneration, cartilage erosion, cartilage fibrillation, and mononuclear cell infiltration of synovial membrane. This study observed that all treatment groups decreased mononuclear cell infiltration of synovial membrane compared to the RA group. However, differences were found between these groups, showing that mononuclear cell infiltration in P+TU and P+L was lower than in the P, TU, and L groups. This result may show that the anti-inflammatory effect increases, when L and TU are used together with glucocorticoids. Also, previous studies reported that LLLT[13,48] and TU[49] produced antiinflammatory effects in various inflammation diseases.

Nonetheless, this study has some limitations. We examined only short periods after the arthritis. It would be remarkably fascinating to investigate the short and long tissue response to the LLLT and TU application in different periods after inflammation. Another limitation of this study is that functional evaluation (such as gait analysis) and synovial fluid analysis were unable to be performed.

In conclusion, thermal imaging and radiographic examination can give results consistent with the severity of the disease. However, thermal imaging can be ineffective for follow-up thermal application. Although either LLLT or TU have positive effects on RA, a more effective result obtained from the use of LLLT and TU combination with intra-articular P. Also, LLLT and TU may become a better therapeutic opportunity for the treatment of RA. However, further studies are needed to investigate the effects of using various doses of LLLT and TU in rat models of RA.

Citation: Okur S, Okumuş Z. Effects of low-level laser therapy and therapeutic ultrasound on Freund’s complete adjuvant-induced knee arthritis model in rats. Arch Rheumatol 2023;38(1):32-43.

Ethics Committee Approval

All experimental procedures were approved by The Atatürk University Local Ethics Committees of Animal Experiments, which were based on the guidelines suggested by the recommendations of the National Institutes of Health Guide for Care and Use of Laboratory Animals (Decision no: 2018/107).

Data Sharing Statement:
The data that support the findings of this study are available from the corresponding author upon reasonable request.

Author Contributions

All authors contributed to the study design, material preparation, data collection, statistical analysis, supervision and writing of the manuscript and approved the final manuscript.

Conflict of Interest

The authors declared no conflicts of interest with respect to the authorship and/or publication of this article.

Financial Disclosure

This study was prepared depending on the Doctoral thesis of Sıtkıcan Okur and supported under project number TDK-2018-6821, provided by the Research Fund of Atatürk University, Erzurum, Türkiye.

Acknowledgments

The authors would like to thank Elif Do¤an and Latif Emrah Yanmaz for supporting prepare of the paper and thank Serkan Yıldırım and Sefa Küçükler for supporting histopathology evaluation and biochemical analysis.

References

  1. Rhee DK, Marcelino J, Baker M, Gong Y, Smits P, Lefebvre V, et al. The secreted glycoprotein lubricin protects cartilage surfaces and inhibits synovial cell overgrowth. J Clin Invest 2005;115:622-31. DOI: 10.1172/JCI200522263
  2. Haleagrahara N, Tudawe D, Chakravarthi S, Kutty Radhakrishnan A. Amelioration of collagen-induced arthritis in female dark agouti rats by glucosamine treatment. ISRN Pharmacol 2013;2013:562905. DOI: 10.1155/2013/562905
  3. Hoving JL, Buchbinder R, Hall S, Lawler G, Coombs P, McNealy S, et al. A comparison of magnetic resonance imaging, sonography, and radiography of the hand in patients with early rheumatoid arthritis. J Rheumatol 2004;31:663-75.
  4. Jiang LJ, Ng EY, Yeo AC, Wu S, Pan F, Yau WY, et al. A perspective on medical infrared imaging. J Med Eng Technol 2005;29:257-67. DOI: 10.1080/03091900512331333158
  5. Ng EY-K. A review of thermography as promising non-invasive detection modality for breast tumor. International Journal of Thermal Sciences 2009;48:849-59. DOI: 10.1016/j.ijthermalsci.2008.06.015
  6. Kim SW, Lee SM, Jeong SH. Validation of thermography in the diagnosis of acute cervical sprain. J Korean Neurosurg Soc 2004;36:297-301.
  7. Laan RF, Jansen TL, van Riel PL. Glucocorticosteroids in the management of rheumatoid arthritis. Rheumatology (Oxford) 1999;38:6-12. DOI: 10.1093/rheumatology/38.1.6
  8. Girod JP, Brotman DJ. Does altered glucocorticoid homeostasis increase cardiovascular risk? Cardiovasc Res 2004;64:217-26. DOI: 10.1016/j.cardiores.2004.07.006
  9. Whitworth JA, Mangos GJ, Kelly JJ. Cushing, cortisol, and cardiovascular disease. Hypertension 2000;36:912-6. DOI: 10.1161/01.HYP.36.5.912
  10. Castano AP, Dai T, Yaroslavsky I, Cohen R, Apruzzese WA, Smotrich MH, et al. Low-level laser therapy for zymosan-induced arthritis in rats: Importance of illumination time. Lasers Surg Med 2007;39:543-50. DOI: 10.1002/lsm.20516
  11. Pallotta RC, Bjordal JM, Frigo L, Leal Junior EC, Teixeira S, Marcos RL, et al. Infrared (810-nm) low-level laser therapy on rat experimental knee inflammation. Lasers Med Sci 2012;27:71-8. DOI: 10.1007/s10103-011-0906-1
  12. Aimbire F, Albertini R, Pacheco MT, Castro-FariaNeto HC, Leonardo PS, Iversen VV, et al. Low-level laser therapy induces dose-dependent reduction of TNFalpha levels in acute inflammation. Photomed Laser Surg 2006;24:33-7. DOI: 10.1089/pho.2006.24.33
  13. Alves AC, de Carvalho PT, Parente M, Xavier M, Frigo L, Aimbire F, et al. Low-level laser therapy in different stages of rheumatoid arthritis: a histological study. Lasers Med Sci 2013;28:529-36. DOI: 10.1007/s10103-012-1102-7
  14. Kucuk BB, Oral K, Selcuk NA, Toklu T, Civi OG. The anti-inflammatory effect of low-level laser therapy on experimentally induced inflammation of rabbit temporomandibular joint retrodiscal tissues. J Orofac Pain 2010;24:293-7.
  15. Karu TI, Pyatibrat LV, Afanasyeva NI. A novel mitochondrial signaling pathway activated by visibleto-near infrared radiation. Photochem Photobiol 2004;80:366-72. DOI: 10.1562/2004-03-25-RA-123.1
  16. de Morais NC, Barbosa AM, Vale ML, Villaverde AB, de Lima CJ, Cogo JC, et al. Anti-inflammatory effect of lowlevel laser and light-emitting diode in zymosan-induced arthritis. Photomed Laser Surg 2010;28:227-32. DOI: 10.1089/pho.2008.2422
  17. de Souza da Fonseca A, Mencalha AL, Araújo de Campos VM, Ferreira Machado SC, de Freitas Peregrino AA, Geller M, et al. DNA repair gene expression in biological tissues exposed to low-intensity infrared laser. Lasers Med Sci 2013;28:1077-84. DOI: 10.1007/s10103-012-1191-3
  18. Hentschke VS, Jaenisch RB, Schmeing LA, Cavinato PR, Xavier LL, Dal Lago P. Low-level laser therapy improves the inflammatory profile of rats with heart failure. Lasers Med Sci 2013;28:1007-16. DOI: 10.1007/s10103-012-1190-4
  19. Schaible HG, Ebersberger A, Von Banchet GS. Mechanisms of pain in arthritis. Ann N Y Acad Sci 2002;966:343-54. DOI: 10.1111/j.1749-6632.2002.tb04234.x
  20. Cheng K, Xia P, Lin Q, Shen S, Gao M, Ren S, et al. Effects of low-intensity pulsed ultrasound on integrinFAK-PI3K/Akt mechanochemical transduction in rabbit osteoarthritis chondrocytes. Ultrasound Med Biol 2014;40:1609-18. DOI: 10.1016/j.ultrasmedbio.2014.03.002
  21. Casimiro L, Brosseau L, Robinson V, Milne S, Judd M, Well G, et al. Therapeutic ultrasound for the treatment of rheumatoid arthritis. Cochrane Database Syst Rev 2002;(3):CD003787. DOI: 10.1002/14651858.CD003787
  22. Snekhalatha U, Anburajan M, Venkatraman B, Menaka M. Evaluation of complete Freund's adjuvantinduced arthritis in a Wistar rat model. Comparison of thermography and histopathology. Z Rheumatol 2013;72:375-82. DOI: 10.1007/s00393-012-1083-8
  23. Bendele A, McComb J, Gould T, McAbee T, Sennello G, Chlipala E, et al. Animal models of arthritis: Relevance to human disease. Toxicol Pathol 1999;27:134-42. DOI: 10.1177/019262339902700125
  24. van den Berg WB, Joosten LA, Helsen M, van de Loo FA. Amelioration of established murine collageninduced arthritis with anti-IL-1 treatment. Clin Exp Immunol 1994;95:237-43. DOI: 10.1111/j.1365-2249.1994.tb06517.x
  25. Snekhalatha U, Anburajan M, Venkatraman B, Menaka M, Raj B. Evaluation of rheumatoid arthritis in small animal model using Thermal imaging. 2011 International Conference on Signal Processing, Communication, Computing and Networking Technologies 2011;785-91. DOI: 10.1109/ICSCCN.2011.6024658
  26. Luisa Corvo M, Jorge JC, van't Hof R, Cruz ME, Crommelin DJ, Storm G. Superoxide dismutase entrapped in long-circulating liposomes: Formulation design and therapeutic activity in rat adjuvant arthritis. Biochim Biophys Acta 2002;1564:227- 36. DOI: 10.1016/S0005-2736(02)00457-1
  27. Gibofsky A. Epidemiology, pathophysiology, and diagnosis of rheumatoid arthritis: A Synopsis. Am J Manag Care 2014;20(7 Suppl):S128-35.
  28. Kamiyama K, Matsuda N, Yamamoto S, Takano K, Takano Y, Yamazaki H, et al. Modulation of glucocorticoid receptor expression, inflammation, and cell apoptosis in septic guinea pig lungs using methylprednisolone. Am J Physiol Lung Cell Mol Physiol 2008;295:L998-L1006. DOI: 10.1152/ajplung.00459.2007
  29. Hegedus B, Viharos L, Gervain M, Gálfi M. The effect of low-level laser in knee osteoarthritis: A doubleblind, randomized, placebo-controlled trial. Photomed Laser Surg 2009;27:577-84. DOI: 10.1089/pho.2008.2297
  30. O'Brien WD Jr. Ultrasound-biophysics mechanisms. Prog Biophys Mol Biol 2007;93:212-55. DOI: 10.1016/j.pbiomolbio.2006.07.010
  31. Planas J, Cervelli V, Planas G. Five-year experience on ultrasonic treatment of breast contractures. Aesthetic Plast Surg 2001;25:89-93. DOI: 10.1007/s002660010102
  32. Tomasek JJ, Gabbiani G, Hinz B, Chaponnier C, Brown RA. Myofibroblasts and mechano-regulation of connective tissue remodelling. Nat Rev Mol Cell Biol 2002;3:349-63. DOI: 10.1038/nrm809
  33. Cressoni MD, Dib Giusti HH, Casarotto RA, Anaruma CA. The effects of a 785-nm AlGaInP laser on the regeneration of rat anterior tibialis muscle after surgically-induced injury. Photomed Laser Surg 2008;26:461-6. DOI: 10.1089/pho.2007.2150
  34. Sanchez BM, Lesch M, Brammer D, Bove SE, Thiel M, Kilgore KS. Use of a portable thermal imaging unit as a rapid, quantitative method of evaluating inflammation and experimental arthritis. J Pharmacol Toxicol Methods 2008;57:169-75. DOI: 10.1016/j.vascn.2008.01.003
  35. Frize M, Adéa C, Payeur P, Gina Di Primio M, Karsh J, Ogungbemile A, editors. Detection of rheumatoid arthritis using infrared imaging. Medical Imaging 2011: Image Processing; 2011: International Society for Optics and Photonics. March 10, 2011; Bellingham, WA, USA; 2011. p. 796620M. DOI: 10.1117/12.874552
  36. Amano A, Miyagi K, Azuma T, Ishihara Y, Katsube S, Aoyama I, et al. Histological studies on the rheumatoid synovial membrane irradiated with a low energy laser. Lasers Surg Med 1994;15:290-4. DOI: 10.1002/lsm.1900150309
  37. Hadjiargyrou M, McLeod K, Ryaby JP, Rubin C. Enhancement of fracture healing by low intensity ultrasound. Clin Orthop Relat Res 1998;(355 Suppl):S216-29. DOI: 10.1097/00003086-199810001-00022
  38. Roberts CA, Dickinson AK, Taams LS. The interplay between monocytes/macrophages and CD4(+) T cell subsets in rheumatoid arthritis. Front Immunol 2015;6:571. DOI: 10.3389/fimmu.2015.00571
  39. Uddin SM, Richbourgh B, Ding Y, Hettinghouse A, Komatsu DE, Qin YX, et al. Chondro-protective effects of low intensity pulsed ultrasound. Osteoarthritis Cartilage 2016;24:1989-98. DOI: 10.1016/j.joca.2016.06.014
  40. Jiang ZL, Cui YQ, Gao R, Li Y, Fu ZC, Zhang B, et al. Study of TNF-a, IL-1b and LPS levels in the gingival crevicular fluid of a rat model of diabetes mellitus and periodontitis. Dis Markers 2013;34:295-304. DOI: 10.1155/2013/156798
  41. Rahman P, Nguyen E, Cheung C, Schentag CT, Gladman DD. Comparison of radiological severity in psoriatic arthritis and rheumatoid arthritis. J Rheumatol 2001;28:1041-4.
  42. Stolina M, Bolon B, Middleton S, Dwyer D, Brown H, Duryea D, et al. The evolving systemic and local biomarker milieu at different stages of disease progression in rat adjuvant-induced arthritis. J Clin Immunol 2009;29:158-74. DOI: 10.1007/s10875-008-9238-8
  43. Aimbire F, Bjordal JM, Iversen VV, Albertini R, Frigo L, Pacheco MT, et al. Low level laser therapy partially restores trachea muscle relaxation response in rats with tumor necrosis factor alpha-mediated smooth airway muscle dysfunction. Lasers Surg Med 2006;38:773-8. DOI: 10.1002/lsm.20357
  44. Totoson P, Maguin-Gaté K, Nappey M, Wendling D, Demougeot C. Endothelial dysfunction in rheumatoid arthritis: Mechanistic insights and correlation with circulating markers of systemic inflammation. PLoS One 2016;11:e0146744. DOI: 10.1371/journal.pone.0146744
  45. Fahmy Wahba MG, Shehata Messiha BA, AboSaif AA. Ramipril and haloperidol as promising approaches in managing rheumatoid arthritis in rats. Eur J Pharmacol 2015;765:307-15. DOI: 10.1016/j.ejphar.2015.08.026
  46. Aimbire F, Lopes-Martins RA, Castro-Faria-Neto HC, Albertini R, Chavantes MC, Pacheco MT, et al. Lowlevel laser therapy can reduce lipopolysaccharideinduced contractile force dysfunction and TNF-alpha levels in rat diaphragm muscle. Lasers Med Sci 2006;21:238-44. DOI: 10.1007/s10103-006-0405-y
  47. Yamaura M, Yao M, Yaroslavsky I, Cohen R, Smotrich M, Kochevar IE. Low level light effects on inflammatory cytokine production by rheumatoid arthritis synoviocytes. Lasers Surg Med 2009;41:282-90. DOI: 10.1002/lsm.20766
  48. Xavier M, David DR, de Souza RA, Arrieiro AN, Miranda H, Santana ET, et al. Anti-inflammatory effects of low-level light emitting diode therapy on Achilles tendinitis in rats. Lasers Surg Med 2010;42:553-8. DOI: 10.1002/lsm.20896
  49. Nakamura T, Fujihara S, Yamamoto-Nagata K, Katsura T, Inubushi T, Tanaka E. Low-intensity pulsed ultrasound reduces the inflammatory activity of synovitis. Ann Biomed Eng 2011;39:2964-71. DOI: 10.1007/s10439-011-0408-0