Jozélio Carvalho1, Aaron Lerner2

1Federal University of Bahia, Medicine, Salvador, Brazil
2Tel Aviv University, Medicine, Tel Aviv, Israel

Adult-onset Still's disease (AOSD) is a rare multisystem autoinflammatory condition of unknown etiology, that may affect the heart, liver, reticuloendothelial system, and lungs.[1] Pleuritis and pleural effusion are the most common respiratory manifestations, occurring in 30 to 40% of cases.[2] The pleural features are usually mild and easily treated with non-steroidal anti-inflammatory drugs or glucocorticoid. However, there are severe cases requiring biological therapy.[3] Intriguingly, a description of a patient with AOSD requiring pleurodesis to stop pleural effusion flow has never been previously described in the literature.

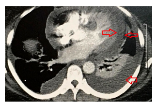
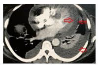
A 49-year-old female patient was admitted with recurrent episodes of fever (39.4°C), transient rash, weight loss, sore throats, and polyarthritis of wrists, knees, metacarpophalangeal and proximal interphalangeal joints in November 2012. No splenomegaly, hepatomegaly or lymphadenopathy was detected. Laboratory tests revealed a hemoglobin of 11.9 g/dL (12-16 g/dL), white blood cell count of 12,800 cells/mm3 (4,000-10,000 cells/mm3), platelets of 798,000/μL (150,000-450,000/μL), aspartate aminotransferase of 62 U/L, alanine aminotransferase of 86 U/L, C-reactive protein (CRP) of 44.1 mg/dL (<5 mg/dL), erythrocyte sedimentation rate (ESR) of 72 mm/1st h (<20 mm/1st h), acid alpha1-glycoprotein of 279 mg/ dL (50-120 mg/dL), and ferritin of 3,465 ng/ mL (11-306 ng/mL). Antinuclear antibodies, rheumatoid factor, anti-cyclic citrullinated peptide, anti-double-stranded deoxyribonucleic acid, anti- Ro/SSA, anti-La/SSB, anti-U1-ribonucleoprotein, anti-Schistosoma mansoni, and human leukocyte antigen-B27 were negative. Serology for infectious disease were also negative. Thoracic and abdominal computed tomography (CT) showed mediastinal lymphadenopathy, pleural effusion, and mild splenomegaly. A diagnosis of AOSD was established.[4] During the investigation, the patient experienced severe pleuritic pain, dyspnea and was hospitalized in another province. X-ray demonstrated a large left pleural effusion, and the CT showed a pericardial and a large left pleural effusion (Figure 1). Lung parenchyma was not involved. A thoracocentesis was performed and the liquid was an exudate, no infectious agent was identified in the cultures and polymerase chain reaction testing. The pleural biopsy showed a chronic unspecific inflammatory process. During the hospital stay, difficulties in weaning her off the thoracic draining tube were encountered due to high volume production of pleural effusion. Based on the decision of the multidisciplinary team, pleurodesis was performed. The procedure was performed via a medical thoracoscopy after complete removal of pleural fluid, and talc powder was sprayed by the use of an atomizer, with no intercurrent problem. Upon discharge, prednisone 60 mg/day was initiated. A marked improvement of all clinical and laboratory picture was noticed. The patient became asymptomatic with normalized ESR, CRP, and acid alpha1glycoprotein, transaminases, and ferritin (87 ng/mL) levels. Thoracic X-ray showed the absence of pleural effusion and echocardiography revealed no pericardial effusion. Hydroxychloroquine (HCQ) 400 mg/day and methotrexate 15 mg/week were added to the treatment. She is currently asymptomatic with stable thoracic X-ray using HCQ and methotrexate. A written informed consent was obtained from the patient for all diagnostic and therapeutic procedures.

In the literature, several infectious agents related to AOSD onset were reported, based on serology markers. Mononucleosis, cytomegalovirus, parvovirus B19, herpesvirus 6, human immunodeficiency virus, hepatitis A, B and C virus, coxsackievirus, mumps, rubella, echovirus; and bacteria were described.[5] In our case, all these infectious etiologies were ruled out.

Despite a recent article evaluating the prognosis after 10 years of disease in 28 patients with AOSD and showing a better outcome with a lower frequency of pleural effusion, our case had severe pleural effusion.[6]

There are several case reports on AOSD and pleural effusion, and some retrospective studies showed the frequency of pleural effusion in 17.5% of the patients.[2] Those cases are responsive to glucocorticoids and, therefore, few cases need immunosuppressive drugs or biologicals such as tocilizumab.[3,7] In a study including 36 AOSD patients, 33% used biologicals. Interestingly, this therapy was more often necessary in those AOSD patients with pleuritis.[3] Pleuritis was recognized, in the past, as an unfavorable prognostic factor for patients with AOSD,[8] associated with a higher disease severity and activity.[9]

In conclusion, refractory pleural effusion in AOSD is rare, usually this successfully treated with corticoid. In the present case, the patients needed a pleurodesis procedure.

Conflict of Interest

The authors declared no conflicts of interest with respect to the authorship and/or publication of this article.

Financial Disclosure

The authors received no financial support for the research and/or authorship of this article.

References

  1. Feist E, Mitrovic S, Fautrel B. Mechanisms, biomarkers and targets for adult-onset Still's disease. Nat Rev Rheumatol 2018;14:603-18. DOI: 10.1038/s41584-018-0081-x
  2. Cheema GS, Quismorio FP Jr. Pulmonary involvement in adult-onset Still’s disease. Curr Opin Pulm Med 1999;5:305-9. DOI: 10.1097/00063198-199909000-00007
  3. Quartuccio L, Salvin S, Zuliani F, Mansutti E, De Vita S. Pleuritis is a red flag for adult-onset Still's disease which may require biologic therapies. Clin Exp Rheumatol 2012;30:807.
  4. Masson C, Le Loet X, Liote F, Dubost JJ, Boissier MC, Perroux-Goumy L, et al. Comparative study of 6 types of criteria in adult Still's disease. J Rheumatol 1996;23:495-7.
  5. Senthilvel E, Papadakis A, McNamara M, Adebambo I. Adult-Onset Still Disease (AOSD). J Am Board Fam Med 2010;23:418-22. DOI: 10.3122/jabfm.2010.03.090157
  6. Uppal SS, Al-Mutairi M, Hayat S, Abraham M, Malaviya A. Ten years of clinical experience with adult onset Still's disease: Is the outcome improving? Clin Rheumatol 2007;26:1055-60. DOI: 10.1007/s10067-006-0440-x
  7. Kawaguchi H, Tsuboi H, Yagishita M, Terasaki T, Terasaki M, Shimizu M, et al. Severe adult-onset still disease with constrictive pericarditis and pleuritis that was successfully treated with tocilizumab in addition to corticosteroids and Cyclosporin A. Intern Med 2018;57:1033-8. DOI: 10.2169/internalmedicine.9809-17
  8. Efthimiou P, Flavell RA, Furlan A, Gasbarrini G, Gava A, Koné-Paut I, et al. Autoinflammatory syndromes and infections: Pathogenetic and clinical implications. Clin Exp Rheumatol 2008;26(1 Suppl 48):S53-61.
  9. Zeng T, Zou YQ, Wu MF, Yang CD. Clinical features and prognosis of adult-onset still's disease: 61 cases from China. J Rheumatol 2009;36:1026-31. DOI: 10.3899/jrheum.080365